Notícias
TV e Famosos
Saúde
Curiosidades
PESQUISAR
#Top3
Notícias
>
diversos
Diversos
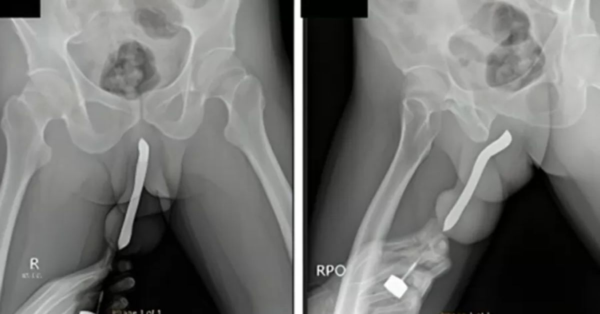
Homem vai parar no hospital por motivo inusitado; objeto quebrou
Diversos
Avô viraliza ao dançar na frente do caixão de seu neto; vídeo
Últimas Notícias
Avô viraliza ao dançar na frente do caixão de seu neto; vídeo
09 Novembro de 2024
Homem vai parar no hospital por motivo inusitado; objeto quebrou
04 Novembro de 2024
Publicidade